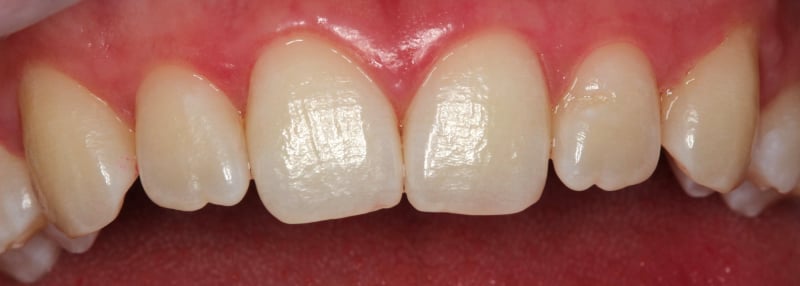
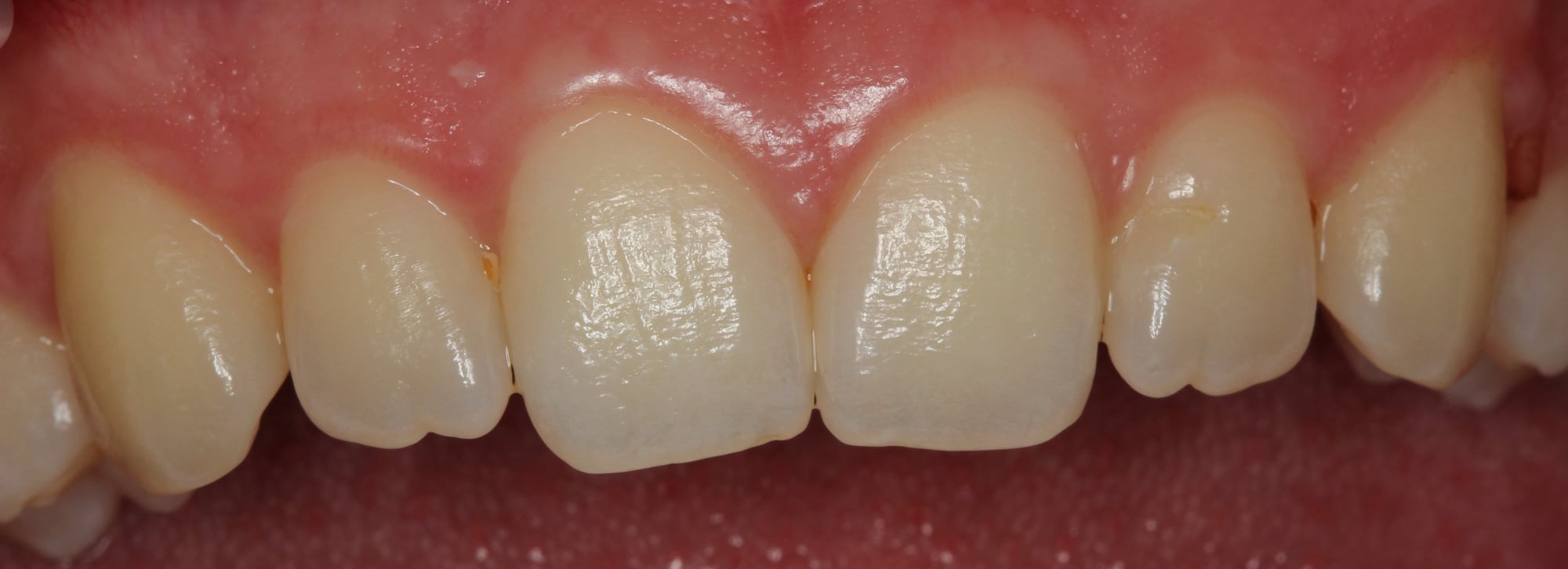
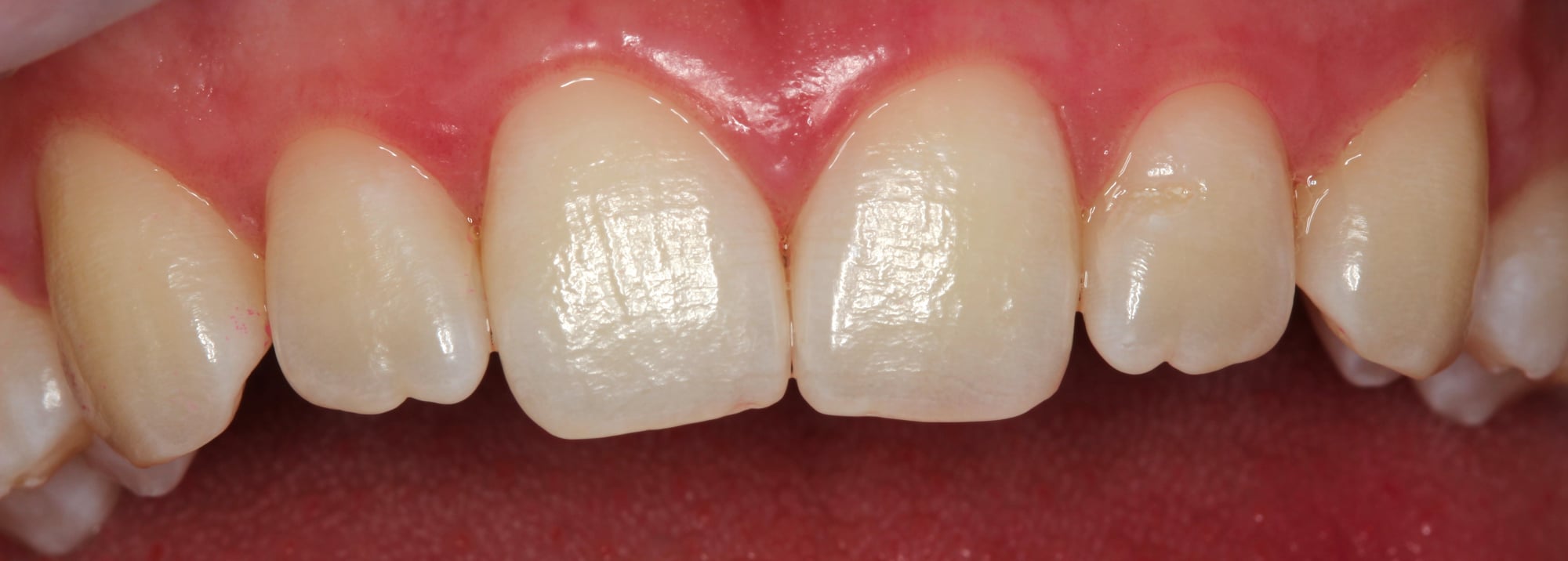
BĚLENÍ ZUBŮ



Bělení zubů je v kompetenci naší zubní hygienistky. Jedná se o kosmetickou proceduru, která nemá žádný léčebný efekt a není vhodná pro všechny pacienty – přínos vždy posuzujeme individuálně. Efekt také není u všech pacientů stejný. Obecně platí, že čím tmavší je barva zubů před bělením, tím lepší je výsledek. Efekt vydrží většinou řádově měsíce i roky, ale je třeba počítat s tím, že dosažená barva nezůstane navždy. Bělení pod kontrolou zubní hygienistky zubům neškodí a pokud Vám udělá radost, rádi Vám doporučíme vhodnou proceduru. Nabízíme několik variant bělení zubů.

Rychlé ordinační bělení – vhodné k mírnému zesvětlení např. po dentální hygieně. Bělicí gel se nanáší jednou, svítí se speciální lampou. Cena je 1900 Kč, výhodný balíček dohromady se zubní hygienou je za 3200 Kč.


Intenzivní ordinační bělení – trvá cca hodinu, bělící gel se nanáší třikrát a svítí se speciální lampou. Efekt je většinou velmi dobrý. Cena je 4200 Kč, výhodný balíček dohromady se zubní hygienou je za 5200 Kč.


Domácí bělení – účinná, šetrná metoda s dlouhodobým efektem a možností dobělení v následujících měsících v případě potřeby. Obnáší zpravidla dvě návštěvy naší ordinace – v první otiskneme, v druhé předáváme individuální nosiče na gel. Pacient pak doma dva až čtyři týdny aplikuje bělící prostředek do nosičů. Nabízíme různé varianty gelů pro domácí použití, nejlepšího výsledku se zpravidla dosáhne bělením přes noc. Cena se pohybuje kolem 5000 Kč (závisí na typu a počtu použitých bělících gelů).


Kombinované bělení je nejúčinnější metodou. Je to kombinace bělení v ordinaci, kdy je patrný okamžitý výsledek, a dobělení v nosičích doma, které zajistí dobrou stabilitu barvy. Cena je 7800 Kč.


K bělení zubů používáme v naší ordinaci produkty značky Opalescence a BlancOne.